Az miktarda insan hücresi taşıyan domuz embriyonu üretildi.
İnsan ve domuz hücreleriyle bir domuz embriyonunun elde edilmesi, elbette ki kulağa ürkütücü geliyor. Ve büyük bir olasılıkla her zaman olduğu gibi etik tartışmalara da neden olacaktır. Sonuçta hem ABD’de hem de diğer tüm Batı ülkelerinde insan ve hayvan karışımı canlılar yaratmak yasaktır.
Fakat bilim insanlarının amacı karma yaratıklar üretmek değil. Burada söz konusu olan, organ bağışı bekleyen hasta insanların yaşamı. Özellikle kalp ve böbrek gibi organlarda bekleme süresi uzayınca hastalar için riskli olabiliyor. Hastanın yabancı organı reddetme durumu da var. Kaliforniya Salk Biyoloji Araştırmaları Enstitüsü araştırmacılarının insan ve domuz hücreleriyle ürettikleri domuz embriyonlarının çok küçük bir kısmı insan hücrelerinden oluşuyor. Cell dergisindeki araştırma yazısına göre embriyon içindeki insan hücresi oranı yüzde 0,001 (“Interspecies Chimerism with Mammalian Pluripotent Stem Cells”, Cell, 26.01.2017).
İnsandan alınan kök hücreleri çok genç domuz embriyonlarına aşılandıktan sonra embriyonlar, dişi domuzlara aktarılmış. Burada kalp ve karaciğerin öncü dokuları gelişmiş ve deneye üç dört hafta sonra son verilmiş. İlk kez insan hücrelerinin bir hayvanda yaşayabileceğini kanıtladık diyen Juan Carlos Izpisua Belmonte, bu çalışmadan önce etik açıdan çok tartışmalı olan bu kombinasyonu Cripr/Cas9 tekniğinin yardımıyla genleri değiştirilmiş farelerde ve sıçanlarda denemiş.
Örneğin sıçanın pankreasını oluşturan genler “kesilip”, fare embriyonuna aktarılınca, organ burada sıçan dokusunun yardımıyla gelişmiş. Fare ve sıçan, insan ve domuza kıyasla, birbirine çok daha yakın oldukları için fare ve sıçan karışımı canlı daha “gelişkindi” diyor araştırmacılar. Oysa insana ait kök hücrelerinin domuza aktarılması o kadar kolay olmamış. 2000 karma hücre kümesinden sadece 180’i anne domuzun karnında gelişmiş. (NÖD)
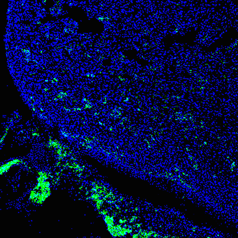
Görsel: 4 haftalık domuz embriyonundaki kalbin gelişmesinde katkıda bulanan insan iPS hücreleri (yeşil).
Kaynak: salk.edu
