Haberler

Yeni bir  araştırmaya göre bol miktarda sebze ve meyve tüketenler, yaşlılıkta görülen zihinsel yeti kaybını yavaşlatıyorlar. Bundan birçok meyve ve sebzede bulunan bitkisel maddeler sorumlu tutuluyor. Neurology dergisinde yayımlanan araştırmaya yaş ortalaması 81 olan 961 sağlıklı kişi katılmış. Bir anket formuyla katılımcılara belli başlı yiyecekleri düzenli olarak hangi miktarda tükettikleri soru...

Geçen yıl 500 milyona yakın insana tip 2 diyabet tanısı kondu. Eskiden “yaşlılık diyabeti” olarak bilinen hastalık artık gençlerde de çok yaygın. Son bir araştırmaya göre dünya genelinde 15 ila 39 yaş arasındaki kişilerde tip 2 diyabet hastalığı önemli ölçüde arttı. Uzmanlar, 204 ülkeye ait verilerle ve 2019 Küresel Hastalık Yükü Çalışmasına dayanarak, ergenler ve genç yetişkinler arasında tip 2 d...

Bilim insanları Kuzey Grönland’da ilk kez iki milyon yıllık bir kalıtım buldular. O zamanki yaşam koşulları hakkında bilgi veren rekor DNA’nın, iklim değişimiyle mücadelede de yardımcı olabileceği düşünülüyor. Nature dergisinde yayımlanan son bir araştırma, Kuzey Grönland’ın bir zamanlar çok farklı bir doğal çevreye ve iklime sahip olduğunu ortaya koydu. Kopenhag Üniversitesi evrim biyologlarından...

Amerikalı bilim insanları, aterosklerotik kardiyovasküler hastalığa bağlı kalp krizi ve felci, tek bir röntgenle on yıl öncesinden tahmin edebilen bir derin öğrenme modeli geliştirdiler. Kalp krizi genç, yaşlı demeden birçok insanı yakalayabiliyor. Dünya genelinde meydana gelen ölümlerin yaklaşık olarak beşte biri kalp rahatsızlıklarından kaynaklandığı biliniyor. Araştırmalar ilginç bir şekilde sa...

Enerji kaynaklarına göre, dünya, Almanya ve Türkiye elektrik üretiminde gelişmeler Dünyada 2021’de güneş enerjisinden elektrik üretimi % 23 büyürken, rüzgarda büyüme % 14 oldu Ancak kömür enerjisinden elektrik üretimi de % 9 büyüdü. 2021 yılında Dünya toplam elektrik üretimi 27 000 TeraWattSaat (TWh) oldu. Bunda yine fosil yakıtlar % 61 oranla başı çektiler. Düşük karbonlu yakıtlar ise % 35’te kal...

550 milyon yıllık molekül fosilleri, gezegenimizdeki en eski hayvanların neler yedikleri hakkında bilgi verdi. Ediyakaran döneminin canlıları, yaşamın bir tür genel provasıydı. Bu canlılar günümüzde bize yabancı gelen, çok sayıda yapı planı, yaşam biçimi ve metabolizma stratejileri geliştirdiler. Bunların arasında 1,40 metre büyüklüğünde, kafası, iç organları veya uzuvları olmayan, ilk gerçek hayv...

Cicero yapay zeka sistemi, “Diplomacy” isimli oyunda birçok oyuncudan daha başarılı oldu. Söz konusu motif, strateji veya karmaşık veriler olduğunda, yapay zekalar artık bir adım öndeler. Nöronal ağlara dayalı kendi kendine öğrenen algoritmalar, satranç, go ve hatta poker gibi blöf yapılan strateji oyunlarında insanları yeniyor, onlarca yıldır çözülemeyen protein yapılarını çözüyor veya yeni matem...

Bedenimizin gerçekte ne kadar suya ihtiyacı var? İlk kez bir denklem bir kişinin günde ne kadar suya ihtiyacı olduğunu ve bu ihtiyacın hangi faktörlerden ne ölçüde etkilendiğini ortaya koydu. Su bizim için yaşamsal bir önem taşır, su olmadan ne metabolizma süreçleri ne de hücreler doğru dürüst çalışır. Bedenimizdeki sıvı miktarı çok fazla azaldığında bazı özel ölçüm sensorları alarm verir. Beynimi...

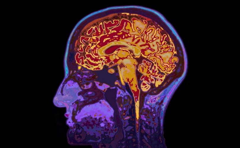
Beyin taramaları damarların çevresinde ve beynin beyaz maddesindeki değişimleri ortaya çıkardı. Şiddetli baş ağrısı nöbetleri, ışığa karşı duyarlılık ve bulantı: Bunlar migren hastalarının başlıca şikayetleridir. Fakat kısmen genetik olan bu hastalığın nasıl ortaya çıktığı ve beyinde kendini nasıl gösterdiği hala tam olarak açıklanamamıştır. Fakat bilindiği kadarıyla, migrenin kendini sadece baş a...