Murat Altaş

Yeni virüs Asya’da yayılıyor: Çin’de 100’den fazla yeni vaka, Güney Kore’de ilk enfeksiyon

Asya'da yayılan yeni virüse dair endişeler artıyor. Virüs kaynaklı solunum yolu rahatsızlığı görülen vakaların sayısı son birkaç günde iki katından fazla arttı. 20 Ocak'ta Çinli yetkililer, salgının b...

Denizlerde 200 bin yeni virüs türü tespit edildi

Her damla deniz suyunda sayısız virüs bulunuyor ve bunlardan birçoğu hiç bilinmiyor bile. Araştırmacılar ilk kez ne kadar virüsün bulunduğunu belirlediler. Cell dergisinde yayımlanan araştırma yazısın...

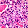
Kedi kakası parazitinin vücudumuzda gizlenmesine yardımcı olan gen

Dünya nüfusunun yaklaşık dörtte biri, aktif hale geldiğinde körlüğe ve hatta ölüme neden olabilen Toxoplasma gondii parazitini taşıyor. MIT'den araştırmacılar, kedi kakası ve az pişmiş yiyeceklerden y...

Kendini yenileyebilen “canlı beton” geliştirildi

ABD'deki Kolorado Üniversitesi'nden bilim insanları, kendi kendine büyüyebilen ve kendisini yenileyebilen bir “canlı beton” üretti. Jelatin, kum ve fotosentetik bakterilerin karışımından meydana gelen...

Bağışıklık sisteminin yeni keşfedilen özelliği ‘tüm kanserleri tedavi edebilir’

Kanser tedavisi için yürütülen araştırmada, insanın bağışıklık sisteminin yeni bulunan bir özelliğinin tüm kanser türlerini tedavi etmek için kullanılabileceği belirtildi. BBC Türkçe'de yer alan haber...

Daha iyi hafıza ve kaliteli uykunun anahtarı: Doğru nefes

Ortalama bir insan olarak dakikada 12-20, günde ise 17.000 ila 30.000 kere nefes alıp veriyoruz. Ancak birçoğumuz yanlış nefes alıp veriyor ve bu da bizi kaliteli bir yaşamdan alıkoyuyor. Bu açıdan ne...

2019 1880’den beri en sıcak 2. yıl oldu

Amerikan Meteoroloji Dairesi (NOAA) kayıtlarına göre, 1880 yılından bu yana 2019 yılı, 2016’dan sonraki en sıcak yıl oldu. Karadaki ve okyanuslar üzerinde Ocak’tan Ekim’e kadarki ortalama sıcaklık, 20...

Yangınlar gezegeni, yangınlar kıtaları, kavrulan 1 milyar canlı, hey nereye gidiyoruz?

Bu aklımızın bilgi ve düşünce boyutlarını aşan yeni bir durum. Dünyada yangınların eksik olmadığını biliyoruz. Aslında yangınlar yerkürenin orman ve bitki örtüsü için oldukça doğal. Özellikle çok sıca...

HBT Dergi 199. Sayı – 17 Ocak 2020

Artık erken ilkbahar, susuz yaz.. Ve kıtasal yangın! Kanal İstanbul ve İstanbul - Doğan Kuban "Büyük bir" ve insan - Tanol Türkoğlu Solucanlar ve Kanal İstanbul - Müfit Akyos Rüzgar ve Güneş enerjiler...

SSM’de Vasıf Kortun Konferansı

Güncel sanat, sanat kurumları ve sergi pratikleri konularında çalışan küratör, eğitmen, yazar Vasıf Kortun, Sakıp Sabancı Müzesi (SSM)'nde, 17 Ocak Cuma günü saat 14.00’da “Anıt ve Belge, Eser ve Arşi...

Zenginler yoksullardan 10 yıl daha uzun yaşıyor

Yeni bir araştırma zengin olmanın kişinin yaşam süresini neredeyse 10 yıl uzatabileceğini gösteriyor. University College London'da (UCL) gerçekleştirilen çalışma en zenginlerin en yoksullara göre hast...

Yeterli uyku süresini DNA mı belirliyor?

Daha az uyku ile idare etmeyi isterdiniz değil mi? Özellikle ciddi bir uykusuzluk sorununuz varsa... Ancak ne yazık ki az uyku ile idare edip yaşamını sağlıklı bir şekilde sürdürülebilen insan sayısı ...