Haberler

Lugdunin olarak isimlendirilen madde, diğer antibiyotiklere karşı dirençli olan bakteri köklerini de öldürüyor. Bilim insanları uzun bir süredir, Staphylococcus aureus türü metisilin (MRSA) dirençli bakterilerle mücadele etmenin yollarını arıyordu. Bu hastalık etkenleri büyük bir sorun, her yıl çok sayıda insan bu MRSA enfeksiyonu yüzünden yaşamını yitiriyor. Tübingen Üniversitesi’nde Andreas Pesc...

Beyindeki sinirsel iletimin büyük oranda elektriksel bir biçimde sağlanması, keşfedildiği günden bu yana ilgi çekici bir konu oldu. 2000'li yılların başından itibaren bilim insanları "beynin elektriksel yapısına müdahale edilerek beyin hastalıklarının iyileştirilebileceğine" dair düşünceyi sistematik bir biçimde denemeye koyuldular. Beynin elektriksel yapısına müdahale etme yöntemi olarak son döne...

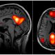
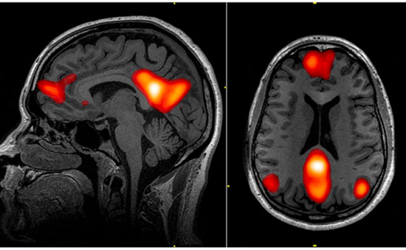
"Mutlu Olma Sanatı" isimli kitabında insanın yaratıcı fikirler ortaya koyması için boş durmaya ve monotonluğa ihtiyacı olduğunu iddia eder. Gerçekten de birçoğumuz hayatımızı değiştiren bazı fikirlerin aklımıza bomboş durduğumuz anlarda geldiğini deneyimlemişizdir. Peki gözümüzü kapatıp dinlenmek için uzandığımızda ya da öylece bomboş uzaklara baktığımızda beynimizin içinde neler oluyor? Uzun yüzy...

Ali Akurgal ilk’lerin adamı... Kıbrıs çıkarması sırasında, ambargo koşulları altında ordu için sıfırdan telsiz üreten ekipteydi, İsviçre ordusuna kripto cihaz yaptı, Türkiye’nin ilk yazılım ihracatını gerçekleştirdi. İçindeki çocuk ona sürekli yeni icatlar yaptırıyor. “Her türlü soruna çözüm arayışı” onun belki de var oluş nedeni... Lisede amatör radyo tamircisi iken, hobisi mesleğine dönüşmüş. Ba...

Teknolojik cihazlardan uzak durmak Akıllı telefon, tablet veya bilgisayar gibi cihazlar, yoğun miktarda kısa dalga boylu mavi ışık üreterek uyku hormonu olan melatonin üretimini olumsuz etkiler. Yatağa girmeden iki saat önce bu tür cihazlar kullanıldığında, melatonin seviyesi %22 azalır. Kişi uykuya daha geç dalar ve REM (derin uyku evresi) uykusu da kısalır. Melatonin azalması döngüyü bozarak, uy...

Bilim Kahramanları Derneği (BKD) tarafından her yıl farklı üniversitelerin rektörlerinin işbirliğiyle gerçekleşen, “Genç Bilim İnsanı Ödülleri”nin altıncısı Pera Müzesi’nde düzenlenen törenle 15 Mayıs Salı günü verildi. Temel Bilimler ve Mühendislik alanlarına katkıda bulunan, 38 yaşın altında 109 başvuru arasından, Dumlupınar Üniversitesi’nden Doç. Dr. Fatih Şen, İzmir Yüksek Teknoloji Enstitüsü’...

                          Evvel zaman içinde kalbur saman içinde yeğenimin 6. kattaki dairesinin salondaki açık penceresinden içeri bir kumru giriyor ve kütüphanenin üzerindeki saksıyı yuva yapmaya uygun bulup, oturuyor ve yumurtluyor. Malum kumrular tek eşli. Gün boyu 6’şar saat arayla anne baba yer değiştiriyorlar. Yeğenim, kuşların rahatça girip çıkmaları için yuvalarına en yakın pencereyi...

Edebiyat tarihi yazımı, sahanın en çetin alanını oluşturur dersek diğer alanlara haksızlık etmiş olmayız sanırım. Bu çalışma alanı kapsam, tanım, tasnif, bakış açısı, objektif/sübjektif yaklaşım ve bağlam gibi sayısız problemi de beraberinde taşır. 15. yüzyıldan beri farklı isimler alarak yolculuğuna devam eden edebiyat tarihçiliği farklı tanımlamalara günümüzde dahi açık kapı bırakmasına rağmen ö...

2016'da ABD’nin Louisiana ve Minnesota eyaletlerinde iki siyahi adamın polis tarafından vurularak öldürülmesi, bu ülkede polislerin ırkçı bir tavır sergiliyor olabilecekleri konusunu yeniden gündeme getirdi. Ne var ki, uzmanlar ırkçılığın yalnızca bu meslek grubuyla sınırlı kalmadığına ve kendilerini ırkçı olarak değerlendirmeyen insanların bile bilinçdışı birtakım ön yargılara sahip olabileceğine...